ทันตกรรมเพื่อความงาม : อุดฟันด้วยชิ้นเซรามิก
การอุดฟันด้วยวัสดุที่ทำโดยห้องแลบ Inlays และ Onlays
การอุดฟันแบบ inlays และ onlays นั้นมีความคล้ายคลึงกับการอุดฟันโดยทั่วไป แต่เนื้อที่ที่จำเป็นต้องได้รับการอุดมีขนาดใหญ่มากซึ่งไม่เหมาะสมกับวิธีการธรรมดา ดังนั้นทันตแพทย์ผู้เชี่ยวชาญจึงแนะนำให้ใช้วิธีการอุดแบบ inlays หรือ onlays โดยการอุดฟันแบบ inlays เป็นการอุดฟันด้านในของบริเวณฟันด้านนั้น ในขณะที่การทำ onlays จะมีวิธีการคล้ายคลึงกับการทำ inlays เพียงแต่จะมีพื้นที่ในการอุดมากกว่า inlays โดยจะครอบคลุมหลายด้านและมุมของฟัน
การอุดฟันแบบ Inlays และ Onlays สามารถเลือกใช้วัสดุซึ่งแต่ละชนิดจะมีคุณสมบัติพิเศษ เช่น
- เซรามิก มีความสวยงามเหมือนสีฟันตามธรรมชาติ
- ทอง มีความแข็งแรงและทนทาน

ข้อดีของการอุดฟันแบบ Inlays และ Onlays
- เพิ่่มความแข็งแรงให้แก่ฟันและมีความทนทานมากกว่าการอุดฟันแบบธรรมดา
- เป็นอีกทางเลือกแทนการครอบฟันในกรณีที่ฟันมีปัญหาไม่มากนัก
- วัสดุเซรามิกที่ใช้ในการทำ inlays และ onlays จะไม่มีการเปลี่ยนสีเนื่องจากอายุการใช้งานหรือคราบอาหาร
การแทนที่วัสดุอุดฟันเก่าที่ใช้อมัลกัมเป็นการอุดฟันแบบ inlays และ onlays ด้วยเซรามิก
ปัจจุบันทันตแพทย์สามารถแทนที่วัสดุอุดฟันอมัลกัมด้วยการอุดฟันแบบ inlays หรือ onlays ที่ใช้เซรามิกทั้งหมดซึ่งช่วยให้ฟันมีความสวยงามอย่างเป็นธรรมชาติ

เทคโนโลยี

ที่คลินิกทันตกรรมบางกอก เดนทัล โฮม เราเลือกใช้วัสดุที่ได้รับการพัฒนาใหม่ล่าสุด IPS Empress Esthetic Line จาก Ivoclar Vivadent ในการอุดฟัน inlays และ onlays แบบเซรามิกทั้งชิ้น ซึ่ง IPS Empress System ได้พิสูจน์ผลงานและเป็นที่ยอมรับด้านการพัฒนาคุณภาพ เทคโนโลยี และวัสดุที่ใช้ในทางทันตกรรมมากว่า 15 ปี โดยปัจจุบันได้นำเสนอเทคนิคและวัสดุเซรามิกใหม่ที่มีความใสเงางาม สามารถเลียนแบบลักษณะและสีของเนื้อฟันเพื่อให้ได้ inlays และ onlays ที่มีความกลมกลืนและสวยงามเหมือนฟันตามธรรมชาติมากที่สุด
ข้อดีจากการเลือกใช้ the IPS Empress Ingots ให้เป็นวัสดุในการทำ inlays มีดังนี้
- ช่วยให้วัสดุที่ได้มีสีและลักษณะที่กลมกลืนกับฟันมากขึ้น
- เพิ่มความแข็งแรงและความทนทานของฟัน
- สามารถเลียนแบบสีและสักษณะของฟันตามธรรมชาติ
- มีความใสและเงางามอย่างเป็นธรรมชาติ
- สามารถช่วยให้การสบฟันมีความเหมาะสมและพอดีที่สุด

Onlays และ Inlays ที่เลือกใช้วัสดุจาก IPS Empress II
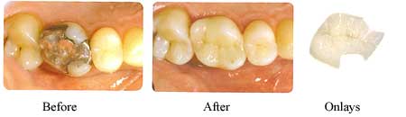
ภาพด้านล่างเปรียบเทียบระหว่าง inlays และ onlays









